
Καταπιέζοντας το φτέρνισμα με το να κρατάμε σφιχτά κλειστά την μύτη και το στόμα μας κινδυνεύουμε να προκαλέσουμε οργανικές βλάβες, προειδοποιούν οι γιατροί και επικαλούνται την περίπτωση ενός 34χρονου, ο οποίος τραυμάτισε σοβαρά τον λάρυγγά του στην προσπάθειά του να κρατήσει ένα δυνατό φτέρνισμα.
Γιατροί στο Λέστερ της Αγγλίας, όπως αναφέρει το BBC, ανακοίνωσαν ότι ο Βρετανός, το όνομα του οποίου δεν δόθηκε στη δημοσιότητα, προκάλεσε ρήξη λάρυγγα και οδηγήθηκε στο νοσοκομείο.
Όπως προειδοποιούν οι ίδιοι σε άρθρο τους που δημοσιεύεται στην επιστημονική επιθεώρηση BMJ Case Reports, “εγκλωβίζοντας” ένα φτέρνισμα μπορούμε να προκαλέσουμε βλάβη στα αυτιά μας (όπως διάτρηση τυμπανικού υμένα) ή ακόμη και ρήξη ανευρύσματος εγκεφάλου.
Τι συνέβη στην περίπτωση του 34χρονου; Η πίεση που δεν εκτονώθηκε με το φτέρνισμα προκάλεσε ρήξη των μαλακών ιστών του λάρυγγα. Οι γιατροί προειδοποιούν ότι παρότι αυτό είναι ασυνήθιστο και σπάνιο, ο κίνδυνος είναι υπαρκτός.
Ο Βρετανός περιέγραψε ότι ένιωσε “σαν κάτι να πετάγεται” μέσα στον λαιμό του όταν συνέβη αυτό και στη συνέχεια αισθάνθηκε πόνο και δυσκολία στην κατάποση και στην ομιλία.
Όταν τον εξέτασαν οι γιατροί διαπίστωσαν ότι υπήρχε οίδημα στον λάρυγγα και γύρω από τον λαιμό του.
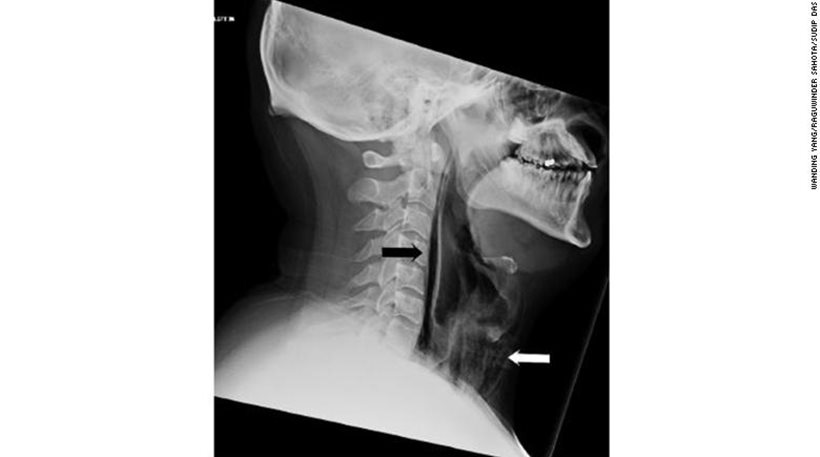
Ακτινογραφία αποκάλυψε ότι αέρας εξερχόταν από την τραχεία του προς τον μαλακό ιστό του μέσω της “ρωγμής” που είχε σχηματιστεί.
Ο άνδρας τρεφόταν επί επτά μέρες με σωλήνα ώστε να μπορέσουν να επουλωθούν οι μαλακοί ιστοί. Αφού παρέμεινε επί μια εβδομάδα στο νοσοκομείο επέστρεψε σπίτι του και ανάρρωσε πλήρως.
Tο pronews.gr δημοσιεύει κάθε σχόλιο το οποίο είναι σχετικό με το θέμα στο οποίο αναφέρεται το άρθρο. Ο καθένας έχει το δικαίωμα να εκφράζει ελεύθερα τις απόψεις του. Ωστόσο, αυτό δεν σημαίνει ότι υιοθετούμε τις απόψεις αυτές και διατηρούμε το δικαίωμα να μην δημοσιεύουμε συκοφαντικά ή υβριστικά σχόλια όπου τα εντοπίζουμε. Σε κάθε περίπτωση ο καθένας φέρει την ευθύνη των όσων γράφει και το pronews.gr ουδεμία νομική ή άλλα ευθύνη φέρει.
Δικαίωμα συμμετοχής στη συζήτηση έχουν μόνο όσοι έχουν επιβεβαιώσει το email τους στην υπηρεσία disqus. Εάν δεν έχετε ήδη επιβεβαιώσει το email σας, μπορείτε να ζητήσετε να σας αποσταλεί νέο email επιβεβαίωσης από το disqus.com
Όποιος χρήστης της πλατφόρμας του disqus.com ενδιαφέρεται να αναλάβει διαχείριση (moderating) των σχολίων στα άρθρα του pronews.gr σε εθελοντική βάση, μπορεί να στείλει τα στοιχεία του και στοιχεία επικοινωνίας στο info3@pronews.gr και θα εξεταστεί άμεσα η υποψηφιότητά του.