
Τα δόντια είναι από τα πιο σημαντικά πράγματα που έχουμε πάνω μας γιατί μας χρησιμεύουν στο να τρώμε και να αρθρώνουμε σωστά τις λέξεις. Είναι ένα από τα σημαντικότερα όργανα του οργανισμού μας. Καμιά φορά όμως εμφανίζουν μερικά σημάδια που σημαίνουν πως πρέπει να τα προσέξουμε λίγο παραπάνω.
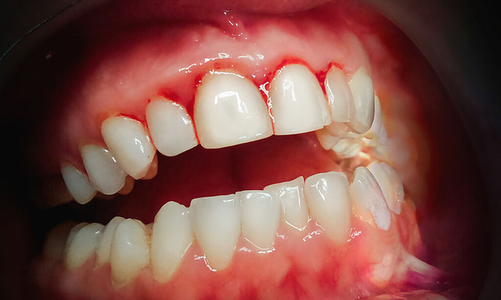
Τα ούλα που ματώνουν και τα δόντια που κουνιούνται είναι δυο από τα πιο συνηθισμένα προβλήματα που αντιμετωπίζουμε στο στόμα.
Αν και μπορεί να οφείλονται σε πάρα πολλά αίτια, η αλήθεια είναι ότι τις περισσότερες φορές συμβαίνουν λόγω κακής υγιεινής του στόματος, η οποία προκαλεί την εμφάνιση παθήσεων όπως της ουλίτιδας.
Στο άρθρο αυτό θα σας αποκαλύψουμε μερικές φυσικές θεραπείες για ούλα που ματώνουν και τα χαλαρά δόντια.
Δες παρακάτω τι πρέπει να κάνεις και τι σημαίνει αν δεις αυτά τα φουσκώματα στα ούλα σου:
Προφανως οι παρακατω προτασεις και θεραπειες ειναι χρησιμες και αποτελεσματικες μονο σε ελαφριες περιπτωσεις. Απο την αλλη, εαν εχετε σοβαρο προβλημα, μην παραμελησετε να επισκεφθειτε τον οδοντιατρο σας. Αυτος θα ξερει εαν απαιτειται εξειδικευμενη θεραπεια και θα βασισει τη διαγνωση στις ιατρικες του γνωσεις.
Μια απο τις καλυτερες φυσικες θεραπειες για ουλα που ματωνουν ειναι οι γαργαρες με χλιαρο αλατονερο. Όπως ξερετε, τα αλατουχα διαλυματα ειναι αντισηπτικα και βοηθουν επισης την καλη κυκλοφορια του αιματατος, στην εν λογω περιπτωση του αιματατος στα ουλα και ολο το στομα. Έτσι τα ουλα δεν ερεθιζονται και δεν ματωνουν. Απλα καντε γαργαρα ενα ποτηρι νερο με μια πρεζα αλατι δυο φορες την ημερα.
Ειναι μια απλουστατη αλλα αποτελεσματικη θεραπεια, που παρα πολλοι παραδοξως ξεχνουν να ακολουθησουν: Καντε μασαζ στα ουλα και βουρτσιστε τα. Έτσι θα αποτρεψετε τους ερεθισμους στην περιοχη και θα απομακρυνετε την πλακα που βλαπτει τα δοντια σας. Στην πορεια θα κανετε τα δοντια και πιο ανθεκτικα. Πολλες οδοντοβουρτσες του εμποριου εχουν σημεια τα οποια μπορειτε και εσεις να χρησιμοποιησετε για να κανετε μασαζ στα ουλα, κατι που θα τα φροντισει ιδιαιτερα. Καντε το ιδιο καθε μερα, καθε φορα που πλενετε τα δοντια.
Η μαγειρικη σοδα αποτελει αλλη μια αποτελεσματικοτατη φυσικη θεραπεια που θα σταματησει το ματωμα και το ερεθισμα των ουλων. Ανακατεψτε λιγημαγειρικη σοδα με νερο και τοποθετηστε με το δαχτυλο το μειγμα στα ουλα σας. Μετα βουρτσιστε οπως συνηθως τα δοντια σας και καντε γαργαρα.
Tο pronews.gr δημοσιεύει κάθε σχόλιο το οποίο είναι σχετικό με το θέμα στο οποίο αναφέρεται το άρθρο. Ο καθένας έχει το δικαίωμα να εκφράζει ελεύθερα τις απόψεις του. Ωστόσο, αυτό δεν σημαίνει ότι υιοθετούμε τις απόψεις αυτές και διατηρούμε το δικαίωμα να μην δημοσιεύουμε συκοφαντικά ή υβριστικά σχόλια όπου τα εντοπίζουμε. Σε κάθε περίπτωση ο καθένας φέρει την ευθύνη των όσων γράφει και το pronews.gr ουδεμία νομική ή άλλα ευθύνη φέρει.
Δικαίωμα συμμετοχής στη συζήτηση έχουν μόνο όσοι έχουν επιβεβαιώσει το email τους στην υπηρεσία disqus. Εάν δεν έχετε ήδη επιβεβαιώσει το email σας, μπορείτε να ζητήσετε να σας αποσταλεί νέο email επιβεβαίωσης από το disqus.com
Όποιος χρήστης της πλατφόρμας του disqus.com ενδιαφέρεται να αναλάβει διαχείριση (moderating) των σχολίων στα άρθρα του pronews.gr σε εθελοντική βάση, μπορεί να στείλει τα στοιχεία του και στοιχεία επικοινωνίας στο info3@pronews.gr και θα εξεταστεί άμεσα η υποψηφιότητά του.