
Λίγο η προδιάθεση ή οι βλαβερές συνήθειες που μπορεί κάποιοι από μας να έχουμε, όπως αυξημένο σωματικό βάρος, κακή στάση σώματος, χρήση ακατάλληλων υποδημάτων ή παλιοί τραυματισμοί σε κάποια άρθρωση που δεν αντιμετωπίστηκαν όπως θα έπρεπε, μπορεί να οδηγήσουν στην εμφάνιση οστεοφύτων.
Αν ακούτε τη λέξη πρώτη φορά, καλό είναι να γνωρίζετε τι είναι, ιδιαίτερα αν κάποια πάθηση των αρθρώσεων ή των οστών σας ταλαιπωρεί.
Τι είναι;
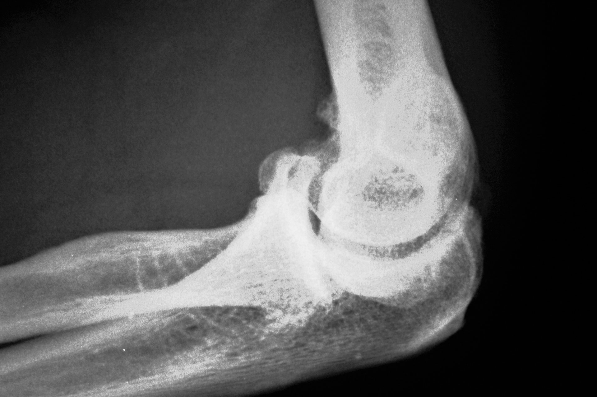
Με όσο πιο απλά λόγια μπορούν να περιγραφούν, τα οστεόφυτα είναι κομμάτια οστού που αναπτύσσονται σε σημεία που δεν πρέπει, «προτιμώντας» την περιοχή του αυχένα, την άρθρωση του ώμου, ακόμα και κατά μήκος της σπονδυλικής στήλης, σε σημείο να πιέζουν μέχρι και κάποιο νεύρο που διακλαδώνεται έξω από αυτήν, παραπλανώντας τον πάσχοντα αφού νομίζει ότι η αιτία είναι σοβαρότερη, ενώ η πραγματικότητα μπορεί να είναι τελείως διαφορετική.
Τα οστεόφυτα είναι ένας δείκτης γήρανσης του ανθρώπου που είναι όμως φυσιολογικός και μη ανησυχητικός, εκτός κι αν προκαλεί νευρολογικά συμπτώματα ή πόνο. Εν ολίγοις, είναι η υπερβολική αύξηση του οστικού ιστού που δε θα έπρεπε να συμβαίνει.
Πότε προκαλούνται;
Μία άρθρωση «περιτριγυρίζεται» από συνδέσμους και τένοντες. Όταν αυτοί έχουν υποστεί βλάβη ή φλεγμονή, η ανάπτυξη του οστού επηρεάζεται και νέα οστικά κύτταρα δημιουργούνται και μεγαλώνουν σε σημεία που δεν πρέπει. Φανταστείτε τα οστεόφυτα σαν καρφιά πάνω στο οστό- έτσι φαίνονται στην ακτινογραφία- ενώ στην πραγματικότητα δεν είναι αιχμηρά αλλά στρογγυλεμένα.
Οι τραυματισμένοι ιστοί και οι φλεγμονές που προκαλούν το σχηματισμό τους μπορεί να οφείλονται σε διάφορους λόγους όπως είπαμε παραπάνω, αλλά ο συνηθέστερος είναι η οστεοαρθρίτιδα.
Οστεοαρθρίτιδα: Τα Φυσικά όπλα αντιμετώπισης
Πώς εκδηλώνονται και πώς αντιμετωπίζονται;
Αν και στις περισσότερες περιπτώσεις είναι άκακα, τα συμπτώματά τους τείνουν να γίνονται για πολλούς βασανιστικά.
Η κίνηση επιδεινώνει τα πράγματα, αφού όλο αυτό συμβαίνει επειδή η πάσχουσα άρθρωση έχει χαλαρώσει πολύ.
Αν τα οστεόφυτα δεν αντιμετωπιστούν, μπορεί να οδηγήσουν σε αρθρίτιδες ή σπονδυλική στένωση.
Η χαλάρωση, η ξεκούραση, οι διατάσεις είναι ο πρώτος τρόπος αντιμετώπισης, αλλά αποτελεσματική ίσως φανεί και η κρυοθεραπεία και οι κατάλληλες φυσικοθεραπείες που μπορούν να δυναμώσουν την άρθρωση κάνοντάς την πάλι ευλύγιστη και να διορθώσουν την κακή στάση του σώματος για να μην πιέζονται τα νεύρα.
Τα αντιφλεγμονώδη μπορούν να ανακουφίσουν, αν και δε λύνουν το πρόβλημα οριστικά, ενώ αν τίποτα από τα παραπάνω δεν αποβεί αποτελεσματικό, υπάρχει και η λύση της χειρουργικής αποκατάστασης.
Καλό θα ήταν τέλος, οι πάσχοντες να κοιμούνται σε σκληρό και σταθερό στρώμα και μετά την υποχώρηση της φλεγμονής να ανακουφίζονται με τη βοήθεια θερμοφόρας.
Tο pronews.gr δημοσιεύει κάθε σχόλιο το οποίο είναι σχετικό με το θέμα στο οποίο αναφέρεται το άρθρο. Ο καθένας έχει το δικαίωμα να εκφράζει ελεύθερα τις απόψεις του. Ωστόσο, αυτό δεν σημαίνει ότι υιοθετούμε τις απόψεις αυτές και διατηρούμε το δικαίωμα να μην δημοσιεύουμε συκοφαντικά ή υβριστικά σχόλια όπου τα εντοπίζουμε. Σε κάθε περίπτωση ο καθένας φέρει την ευθύνη των όσων γράφει και το pronews.gr ουδεμία νομική ή άλλα ευθύνη φέρει.
Δικαίωμα συμμετοχής στη συζήτηση έχουν μόνο όσοι έχουν επιβεβαιώσει το email τους στην υπηρεσία disqus. Εάν δεν έχετε ήδη επιβεβαιώσει το email σας, μπορείτε να ζητήσετε να σας αποσταλεί νέο email επιβεβαίωσης από το disqus.com
Όποιος χρήστης της πλατφόρμας του disqus.com ενδιαφέρεται να αναλάβει διαχείριση (moderating) των σχολίων στα άρθρα του pronews.gr σε εθελοντική βάση, μπορεί να στείλει τα στοιχεία του και στοιχεία επικοινωνίας στο info3@pronews.gr και θα εξεταστεί άμεσα η υποψηφιότητά του.