
«Πέθαναν άνθρωποι από το εμβόλιο και υπάρχει μόνο ένας τρόπος για να το αποδείξουμε και αυτό είναι μόνο μέσω των νεκροψιών και εμείς αποδείξαμε ότι υπάρχει επίθεση των λεμφοκυττάρων, τα οποία σκότωσαν τον άνθρωπο», είπε ο S.Bhakdi στην έναρξη της πρόσφατης ομιλίας των Doctors for Covid Ethics με θέμα «Αποδείξεις για θανάτους από το εμβόλιο του Covid-19».
Και αυτά τα οποία παρέθεσε ο Γερμανός Ιατροδικαστής Dr. Arne Burkhardt, ο οποίος τους τελευταίους τέσσερις μήνες έκανε έρευνες, ξεκάθαρα επιβεβαιώνουν ότι άνθρωποι πέθαναν εμβόλιο.
Ο Ιατροδικαστής εξέτασε θανάτους μετά το εμβόλιο κατά του κορωνοϊού σε πολίτες 28 έως 95 ετών.
Σε πέντε περιπτώσεις ο εμβολιασμός ήταν «αρκετά πιθανό» να είναι η αιτία θανάτου, σε επτά περιπτώσεις ο εμβολιασμός ήταν «πιθανό» να είναι η αιτία θανάτου, σε δύο περιπτώσεις «δεν ήταν ξεκάθαρο, αλλά ήταν πιθανό» ο εμβολιασμός να ήταν η αιτία του θανάτου και σε μόλις μια περίπτωση δεν υπάρχουν αποδείξεις.
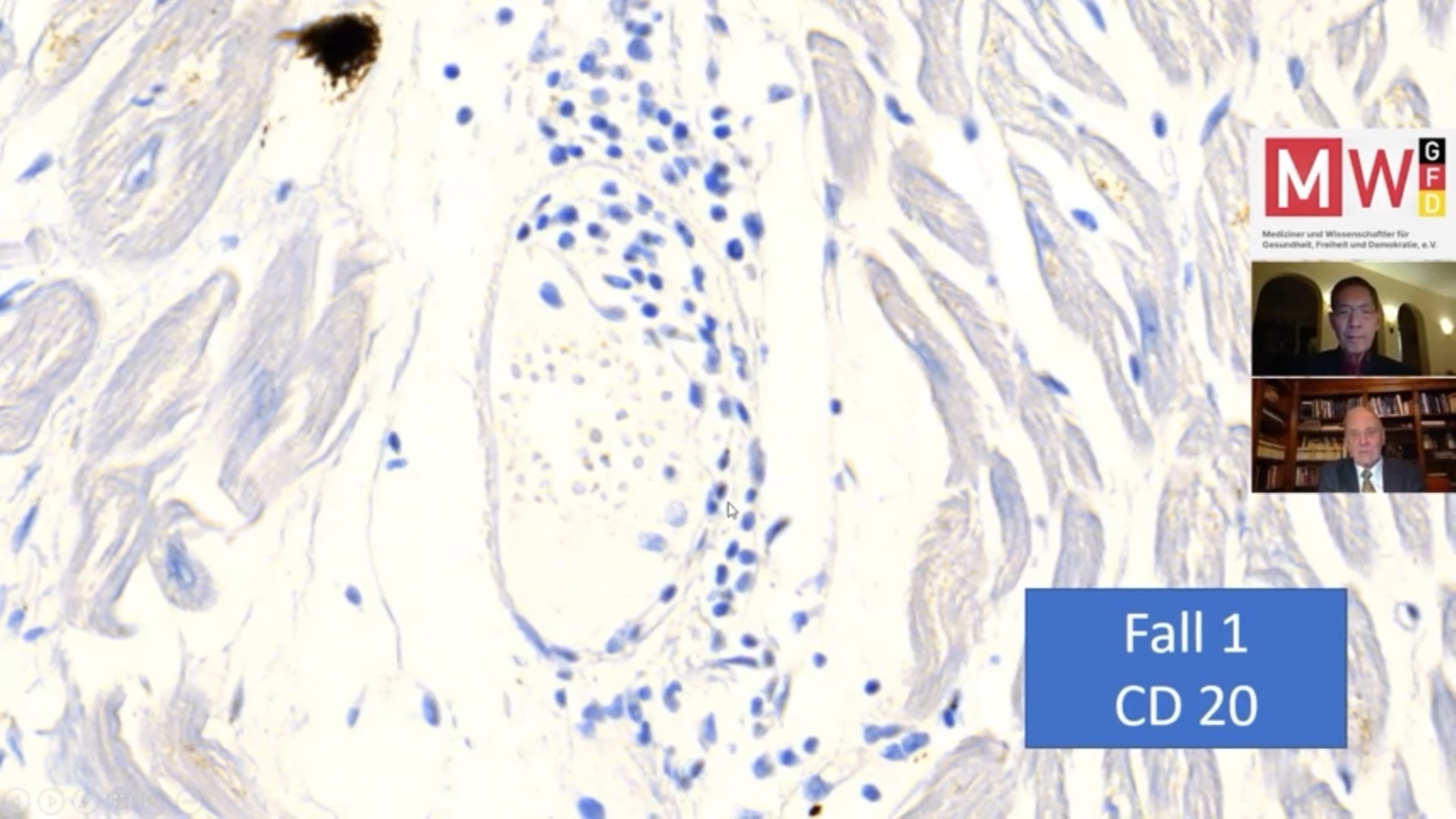
Στη συνέχεια έδειξε άκρως αποκαλυπτικές διαφάνειες από την επίθεση που δέχθηκαν διάφορα όργανα των ανθρώπων από τα λεμφοκύτταρα, μια επίθεση που τους οδήγησε στο θάνατο.
Η πρώτη διαφάνεια που έδειξε είναι από επιπλοκές που δημιουργήθηκαν στην καρδιά: 
Ο γιατρός αναλύει τα ευρήματα που υπάρχουν στο μυοκάρδιο και υποστηρίζει ότι αυτό το φαινόμενο μπορεί να το παρατηρήσει κάποιος και σε άλλους θανάτους, παρόλα αυτά δείχνει και δεύτερο διάγραμμα, στο οποίο τα τοιχώματα έχουν μολυνθεί, κάτι που δεν είναι συνηθισμένο. 
Στην τρίτη διαφάνεια στέκεται στα μπλε στίγματα, τονίζοντας ότι τα λεμφοκύτταρα δείχνουν να κάνουν επίθεση στην καρδιά. 
Ο Ιατροδικαστής στη συνέχεια δείχνει και άλλες διαφάνειες που επιβεβαιώνουν τα όσα έλεγε ο S.Bhakdi περί επίθεσης λεμφοκυττάρων στα όργανα.
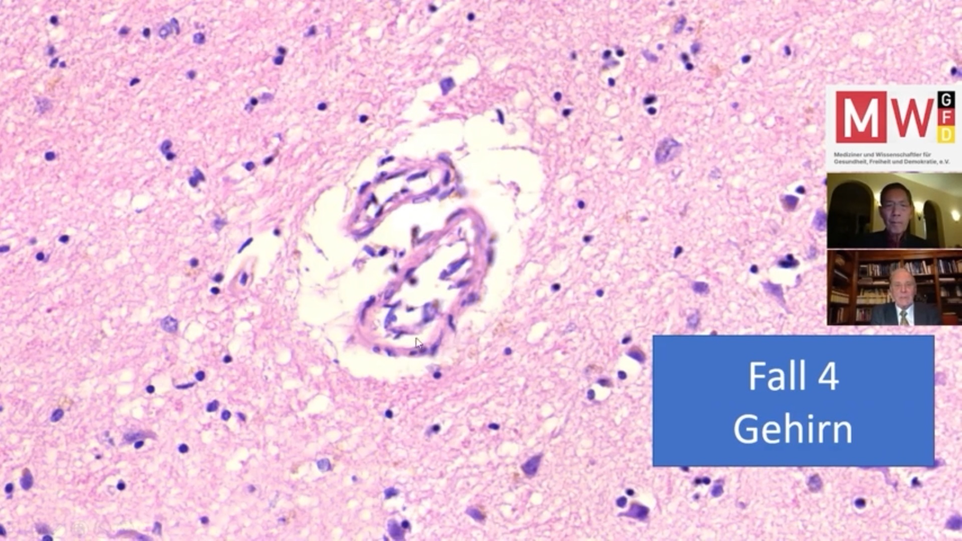
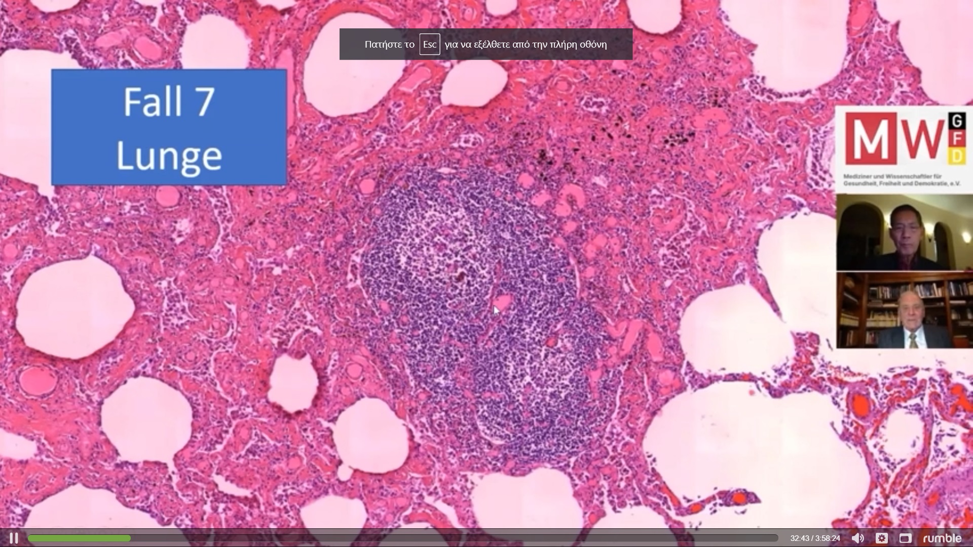
Παράλληλα δείχνει διαφάνειες και από άλλα όργανα, εκτός από την καρδιά.
Η παρακάτω διαφάνεια είναι από τον εγκέφαλο: 
Διαφάνεια από τον πνεύμονα:

Όπως τονίζει σχεδόν όλοι οι θάνατοι προκλήθηκαν από επίθεση των λεμφοκυττάρων σε διάφορα όργανα. Ο S.Bhakdi υποστήριξε ότι όσα είπε ο Burkhardt είναι αδιάσειστα στοιχεία ότι «υπάρχει σφαίρα στο εμβόλιο» και αυτή τη σφαίρα βρίσκεται στα λεμφοκύτταρα.
Η συνέντευξη Τύπου των Doctors for Covid Εthics ήταν συγκλονιστική, καθώς πολλοί επιστήμονες έκαναν αποκαλύψεις για τα εμβόλια, ανάμεσα τους και ο πρώην αντιπρόεδρος της Pfizer, M.Yeadon.
Στο τέλος της συνέντευξης Τύπου ο Bhakdi «λύγισε» και κάλεσε πολίτες και επιστήμονες να πολεμήσουν κατά της «υγειονομικής δικτατορίας», ενώ κάλεσε τον Fauci και τους λοιπούς «αρχιερείς» αυτής της τρέλας να δουν τις αποκαλύψεις τους και να συζητήσουν ανοιχτά και δημοσίως για τα όσα συμβαίνουν.
Δείτε όσα είπε ο Γερμανός ιατροδικαστής από το 20ο λεπτό του βίντεο έως το 50ο λεπτό:
Tο pronews.gr δημοσιεύει κάθε σχόλιο το οποίο είναι σχετικό με το θέμα στο οποίο αναφέρεται το άρθρο. Ο καθένας έχει το δικαίωμα να εκφράζει ελεύθερα τις απόψεις του. Ωστόσο, αυτό δεν σημαίνει ότι υιοθετούμε τις απόψεις αυτές και διατηρούμε το δικαίωμα να μην δημοσιεύουμε συκοφαντικά ή υβριστικά σχόλια όπου τα εντοπίζουμε. Σε κάθε περίπτωση ο καθένας φέρει την ευθύνη των όσων γράφει και το pronews.gr ουδεμία νομική ή άλλα ευθύνη φέρει.
Δικαίωμα συμμετοχής στη συζήτηση έχουν μόνο όσοι έχουν επιβεβαιώσει το email τους στην υπηρεσία disqus. Εάν δεν έχετε ήδη επιβεβαιώσει το email σας, μπορείτε να ζητήσετε να σας αποσταλεί νέο email επιβεβαίωσης από το disqus.com
Όποιος χρήστης της πλατφόρμας του disqus.com ενδιαφέρεται να αναλάβει διαχείριση (moderating) των σχολίων στα άρθρα του pronews.gr σε εθελοντική βάση, μπορεί να στείλει τα στοιχεία του και στοιχεία επικοινωνίας στο info3@pronews.gr και θα εξεταστεί άμεσα η υποψηφιότητά του.