
Μία απίστευτη ιστορία αποκαλύφθηκε στη Ρωσία καθώς μια 80χρονη γυναίκα έχει περάσει όλη τη ζωή της με μια βελόνα μήκους τριών εκατοστών στον εγκέφαλό της, δίχως να το γνωρίζει.
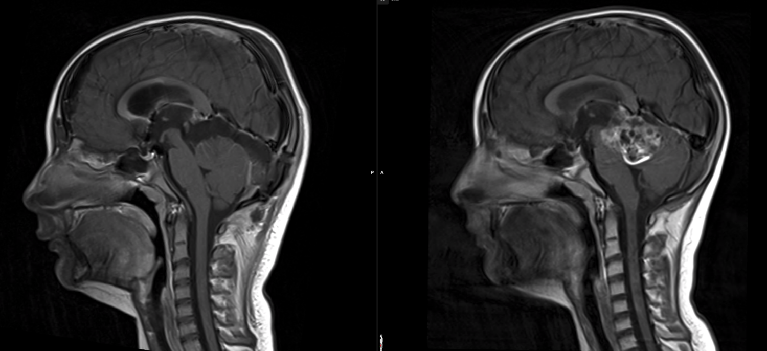
Κατά τη διάρκεια αξονικής τομογραφίας, οι γιατροί εντόπισαν τη βελόνα στον εγκέφαλο της γυναίκα σύμφωνα με τις εκτιμήσεις τους, η ηλικιωμένη υπήρξε θύμα απόπειρας βρεφοκτονίας των γονιών της, οι οποίοι τελικά αποφάσισαν να μην αφαιρέσουν τη βελόνα από τον εγκέφαλό της.
«Τέτοιες περιπτώσεις δεν ήταν ασυνήθιστες την εποχή του λιμού», ανακοίνωσαν οι υγειονομικές αρχές της περιοχής Σαχαλίν.
«Οι γονείς της πιθανότατα αποφάσισαν να σκοτώσουν το παιδί τους κατά τη διάρκεια του Β΄ Παγκοσμίου Πολέμου και ζούσε με μια βελόνα τριών εκατοστών», ανέφερε η ίδια ανακοίνωση.
«Η βελόνα διαπέρασε τον αριστερό βρεγματικό λοβό της, αλλά δεν είχε το σχεδιασμένο αποτέλεσμα. Το κορίτσι επέζησε», σημείωσαν οι υγειονομικές αρχές, συμπληρώνοντας πως η γυναίκα δεν είχε ποτέ πρόβλημα με πονοκεφάλους, ούτε διατρέχει κάποιο κίνδυνο. Παρόλα αυτά, παρακολουθείται από γιατρό.
Tο pronews.gr δημοσιεύει κάθε σχόλιο το οποίο είναι σχετικό με το θέμα στο οποίο αναφέρεται το άρθρο. Ο καθένας έχει το δικαίωμα να εκφράζει ελεύθερα τις απόψεις του. Ωστόσο, αυτό δεν σημαίνει ότι υιοθετούμε τις απόψεις αυτές και διατηρούμε το δικαίωμα να μην δημοσιεύουμε συκοφαντικά ή υβριστικά σχόλια όπου τα εντοπίζουμε. Σε κάθε περίπτωση ο καθένας φέρει την ευθύνη των όσων γράφει και το pronews.gr ουδεμία νομική ή άλλα ευθύνη φέρει.
Δικαίωμα συμμετοχής στη συζήτηση έχουν μόνο όσοι έχουν επιβεβαιώσει το email τους στην υπηρεσία disqus. Εάν δεν έχετε ήδη επιβεβαιώσει το email σας, μπορείτε να ζητήσετε να σας αποσταλεί νέο email επιβεβαίωσης από το disqus.com
Όποιος χρήστης της πλατφόρμας του disqus.com ενδιαφέρεται να αναλάβει διαχείριση (moderating) των σχολίων στα άρθρα του pronews.gr σε εθελοντική βάση, μπορεί να στείλει τα στοιχεία του και στοιχεία επικοινωνίας στο info3@pronews.gr και θα εξεταστεί άμεσα η υποψηφιότητά του.