Επιδόματα: Ο φερετζές της πτώχευσης

Στη δημοσιότητα οι πρώτες εικόνες εγκεφάλου από τον ισχυρότερο μαγνητικό τομογράφο στον κόσμο

Σε μόλις 4 λεπτά, αυτός ο μοναδικός τομογράφος μπορεί να αποδώσει εικόνες σε ανάλυση που θα χρειαζόταν ώρες για τον μέσο σαρωτή

Στη δημοσιότητα οι πρώτες εικόνες εγκεφάλου από τον ισχυρότερο μαγνητικό τομογράφο στον κόσμο

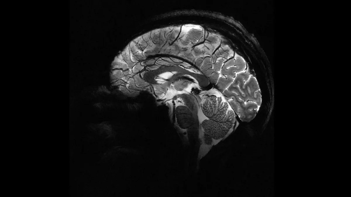
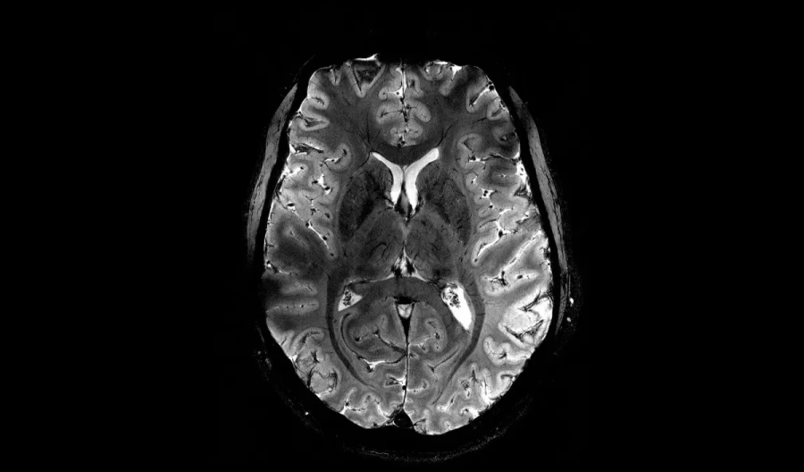
Εκπληκτικές εικόνες έδωσε στη δημοσιότητα το πιο ισχυρό μηχάνημα απεικόνισης μαγνητικού συντονισμού (MRI) στον κόσμο.

Σε μόλις 4 λεπτά, αυτός ο μοναδικός τομογράφος μπορεί να αποδώσει εικόνες σε ανάλυση που θα χρειαζόταν ώρες για τον μέσο σαρωτή σε ένα νοσοκομείο, δίνοντας στους επιστήμονες ένα άνευ προηγουμένου “παράθυρο” στον ανθρώπινο εγκέφαλο.

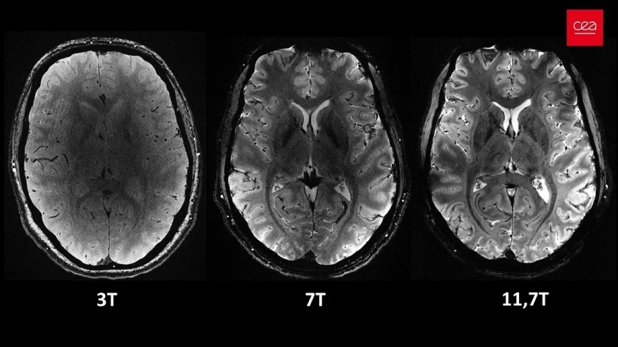
Οι σαρωτές μαγνητικής τομογραφίας περιβάλλουν το σώμα (ή το μέρος του σώματος που θέλετε να απεικονίσετε) με ένα ισχυρό μαγνητικό πεδίο. Οι περισσότεροι σαρωτές που χρησιμοποιούνται σήμερα μπορούν να επιτύχουν ένταση πεδίου 1,5 ή 3 teslas (T). Το μηχάνημα μαγνητικής τομογραφίας Iseult, που είναι υπεύθυνο γι’ αυτές τις φωτογραφίες, μπορεί να φτάσει στα 11,7 Τ!

Πρακτικά αυτό σημαίνει ότι αυτή η εξαιρετική ανάλυση μπορεί να επιτευχθεί σε ένα κλάσμα του χρόνου που θα χρειαζόταν για έναν σαρωτή 1,5 ή 3Τ.

Εάν κάνατε ποτέ μαγνητική τομογραφία, το πρώτο πράγμα που πιθανότατα σας είπε ο τεχνικός ήταν η σημασία του να μείνετε εντελώς ακίνητοι. Αυτό συμβαίνει επειδή ακόμη και η πιο μικροσκοπική κίνηση μπορεί να δημιουργήσει παραμορφώσεις, θολώνοντας τις εικόνες και καταστρέφοντας την τελική απεικόνιση. Το όλο εγχείρημα του να παραμείνετε εντελώς ακίνητοι σε έναν σωλήνα που μοιάζει με… φέρετρο θα ήταν πολύ πιο άνετο αν έπρεπε να το κάνετε μόνο για λίγα λεπτά, αντί για μία ώρα ή περισσότερο.

Αλλά πέρα από την ωμή ταχύτητα της διαδικασίας, η ανάλυση που προσφέρει ο σαρωτής μαγνητικής τομογραφίας Iseult μπορεί να επιτρέψει στους επιστήμονες να μελετήσουν υγιείς και άρρωστους εγκεφάλους σε ζωντανούς ανθρώπους με πολύ πιο υψηλό επίπεδο λεπτομέρειας απ’ ό,τι είχε η επιστήμη στα χέρια της μέχρι σήμερα.

Μπορείτε να δείτε ξεκάθαρα τη διαφορά μεταξύ του τυπικού σαρωτή 3Τ στα νοσοκομεία, ενός σαρωτή 7Τ που μόνο ορισμένοι τυχεροί ερευνητές έχουν στα χέρια τους και του νέου σαρωτή των 11,7Τ.

Στο πεδίο έρευνας για το Αλτσχάιμερ και το Πάρκινσον, για παράδειγμα, αυτή η διαφορά θα μπορούσε να παρέχει νέες πληροφορίες για τον νευροεκφυλισμό που συμβαίνει σε διαφορετικές περιοχές του εγκεφάλου και να βοηθήσει στη βελτίωση της διάγνωσης και της θεραπείας.

Η χρήση μιας έντασης πεδίου αυτού του μεγέθους επιτρέπει επίσης στον σαρωτή να λαμβάνει ορισμένα χημικά σήματα που δεν μπορούν να ανιχνευθούν με τους συμβατικούς σαρωτές. Ένα από αυτά είναι το λίθιο, ένα φάρμακο που μερικές φορές χρησιμοποιείται στη θεραπεία της διπολικής διαταραχής. Με αυτόν τον σαρωτή, οι επιστήμονες θα μπορούν να δουν πώς κατανέμεται το λίθιο στον εγκέφαλο, για να κατανοήσουν καλύτερα πώς λειτουργεί.

“Με τον σαρωτή Iseult, ένας εντελώς νέος κόσμος ανοίγεται μπροστά στα μάτια μας και είμαστε ενθουσιασμένοι που τον εξερευνούμε”, δήλωσε ο επικεφαλής του έργου και διευθυντής Έρευνας στη Γαλλική Επιτροπή Εναλλακτικών Ενεργειών και Ατομικής Ενέργειας (CEA), Nicolas Boulant.

“Στόχος μας είναι να διερευνήσουμε τις νευροεκφυλιστικές ασθένειες έως το 2026-2030, καθώς και άλλες ασθένειες που εμπίπτουν περισσότερο στην ψυχιατρική, όπως η σχιζοφρένεια και οι διπολικές διαταραχές. Οι γνωστικές επιστήμες θα έχουν επίσης καίρια σημασία στην έρευνά μας”, πρόσθεσε.

Η ανάπτυξη αυτού του εντυπωσιακού μηχανήματος πραγματοποιήθηκε σε σχεδόν δύο δεκαετίες, με τη συμμετοχή περισσότερων από 200 ατόμων που έφτιαξαν τον μαγνήτη, τοποθέτησαν τον εξοπλισμό, ανέπτυξαν τους παράγοντες αντίθεσης που επιτρέπουν την λήψη τόσο καθαρών εικόνων και διαμόρφωσαν νέες μεθόδους για να αξιοποιηθεί στο έπακρο η πρωτόγνωρη ισχύς του νέου σαρωτή.

Το μηχάνημα βάρους 132 τόνων είναι τετράγωνο με πλευρές μήκους 5 μέτρων και περιέχει 182 χιλιόμετρα υπεραγώγιμων συρμάτων. Υγρό ήλιο χρησιμοποιείται για την ψύξη του μαγνήτη μέχρι τους -271,35°C.

“Είμαστε απίστευτα περήφανοι που βλέπουμε αυτό το τελικό αποτέλεσμα ενός σχεδόν 20ετούς έργου έρευνας και ανάπτυξης”, δήλωσε η Anne-Isabelle Etienvre, διευθύντρια Θεμελιωδών Ερευνών στο CEA.

“Νευροεπιστήμονες, φυσικοί, μαθηματικοί και γιατροί συνεργάστηκαν για να αναπτύξουν τα εργαλεία και τα μοντέλα που θα βοηθήσουν στην καλύτερη κατανόηση του τρόπου λειτουργίας των υγιών και ασθενών εγκεφάλων, επεκτείνοντας τους ορίζοντες των εξερευνήσεων στον ανθρώπινο εγκέφαλο”, πρόσθεσε.

Δείτε μας ζωντανά στο YouTube, Twitch, X, Telegram

ΤΕΛΕΥΤΑΙΕΣ ΕΙΔΗΣΕΙΣ
ΔΕΙΤΕ ΟΛΑ ΤΑ ΝΕΑ
ΣΧΟΛΙΑΣΤΕ ΤΟ ΑΡΘΡΟ

Tο pronews.gr δημοσιεύει κάθε σχόλιο το οποίο είναι σχετικό με το θέμα στο οποίο αναφέρεται το άρθρο. Ο καθένας έχει το δικαίωμα να εκφράζει ελεύθερα τις απόψεις του. Ωστόσο, αυτό δεν σημαίνει ότι υιοθετούμε τις απόψεις αυτές και διατηρούμε το δικαίωμα να μην δημοσιεύουμε συκοφαντικά ή υβριστικά σχόλια όπου τα εντοπίζουμε. Σε κάθε περίπτωση ο καθένας φέρει την ευθύνη των όσων γράφει και το pronews.gr ουδεμία νομική ή άλλα ευθύνη φέρει.

Δικαίωμα συμμετοχής στη συζήτηση έχουν μόνο όσοι έχουν επιβεβαιώσει το email τους στην υπηρεσία disqus. Εάν δεν έχετε ήδη επιβεβαιώσει το email σας, μπορείτε να ζητήσετε να σας αποσταλεί νέο email επιβεβαίωσης από το disqus.com

Όποιος χρήστης της πλατφόρμας του disqus.com ενδιαφέρεται να αναλάβει διαχείριση (moderating) των σχολίων στα άρθρα του pronews.gr σε εθελοντική βάση, μπορεί να στείλει τα στοιχεία του και στοιχεία επικοινωνίας στο info3@pronews.gr και θα εξεταστεί άμεσα η υποψηφιότητά του.