
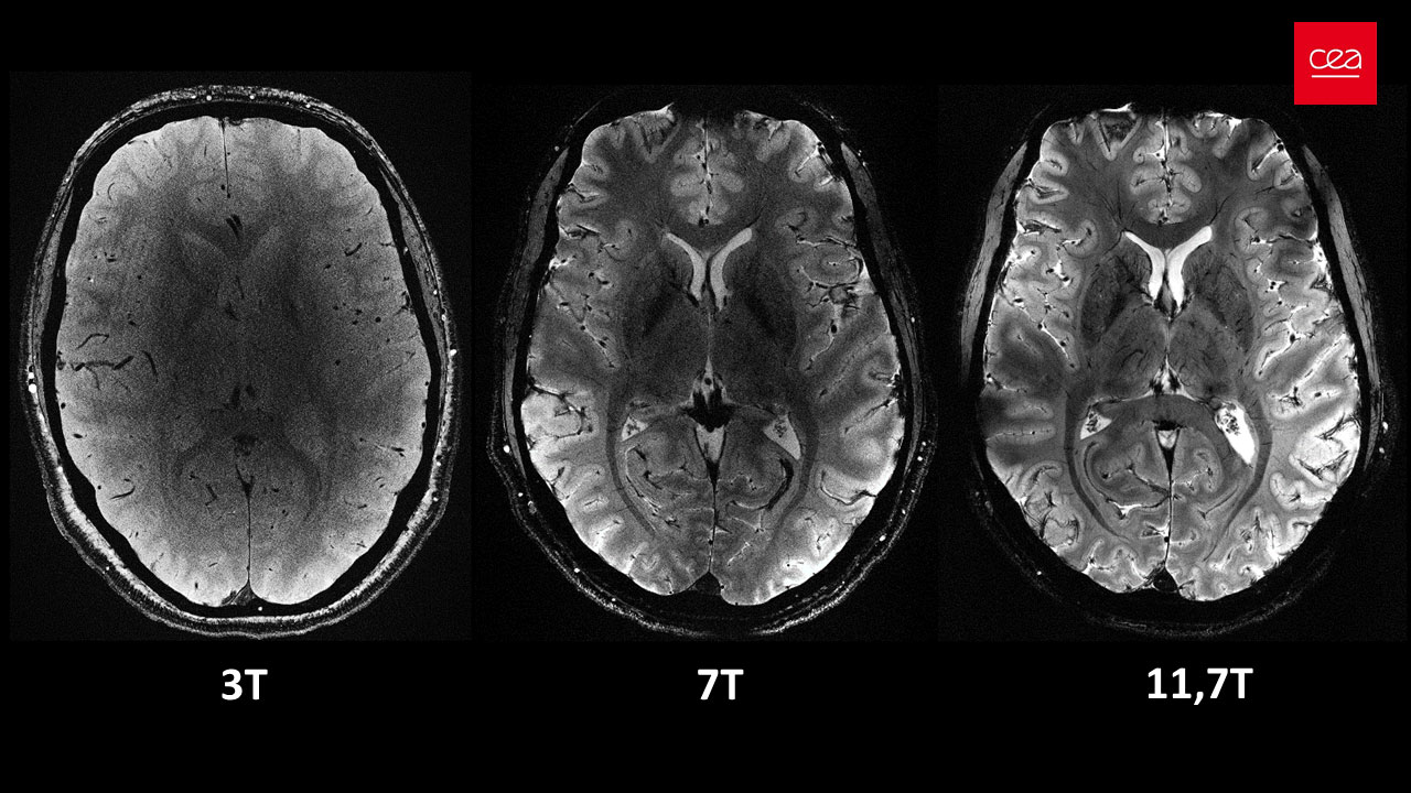
Για πρώτη φορά ένας ζωντανός εγκέφαλος απεικονίζεται με απίστευτη καθαρότητα χάρη στο ισχυρότερο μηχάνημα μαγνητικής τομογραφίας στον κόσμο.
Το CEA αποκαλύπτει μια σειρά από in vivo εικόνες ανθρώπινου εγκεφάλου που αποκτήθηκαν με το μηχάνημα μαγνητικής τομογραφίας Iseult και την απαράμιλλη ένταση μαγνητικού πεδίου 11,7 teslas. Η επιτυχία αυτή είναι ο καρπός περισσότερων από 20 ετών έρευνας και ανάπτυξης στο πλαίσιο του έργου Iseult, με έναν από τους πυλώνες του να είναι ο σχεδιασμός και η κατασκευή του ισχυρότερου μηχανήματος μαγνητικής τομογραφίας στον κόσμο.
Φιλοδοξεί να μελετήσει υγιείς και ασθενείς ανθρώπινους εγκεφάλους με πρωτοφανή ανάλυση, επιτρέποντάς στους ειδικούς να ανακαλύψουν νέες λεπτομέρειες που αφορούν την ανατομία, τις συνδέσεις και τη δραστηριότητα του εγκεφάλου.
#Cerveau🧠| Première mondiale : le cerveau dévoilé comme jamais grâce à l’IRM le + puissant au monde conçu et développé au CEA !
🤩Découvrez les 1ères images de cerveau obtenues avec le scanner IRM Iseult, doté d’un champ magnétique inégalé de 11,7 teslas👉https://t.co/h0Tpps7Jcy pic.twitter.com/SuuHyG4GqT— CEA (@CEA_Officiel) April 2, 2024
Σχετική δήλωση έκανε και ο Γάλλος πρόεδρος Εμανουέλ Μακρόν:
«Παγκόσμια πρεμιέρα: ο ζωντανός εγκέφαλος απεικονίζεται με απαράμιλλη καθαρότητα χάρη στο ισχυρότερο μηχάνημα μαγνητικής τομογραφίας στον κόσμο
Αυτή είναι η ακριβέστερη εικόνα του εγκεφάλου στην ιστορία, η οποία ελήφθη με τη χρήση του μαγνητικού τομογράφου του CEA, του ισχυρότερου στον κόσμο.
Πρόκειται για μια σημαντική πρόοδο και τεράστια ελπίδα για τη μελέτη της υγείας μας. Συγχαρητήρια στην ομάδα του έργου Iseult.
Γαλλική υπερηφάνεια!»
Voici l’image du cerveau la plus précise de l’Histoire, obtenue grâce au scanner IRM du CEA, le plus puissant au monde.
C’est une avancée majeure et un espoir immense pour l’étude de notre santé. Félicitations à l’équipe du projet Iseult.
Fierté française ! pic.twitter.com/UGSm2RtvwU
— Emmanuel Macron (@EmmanuelMacron) April 2, 2024
Tο pronews.gr δημοσιεύει κάθε σχόλιο το οποίο είναι σχετικό με το θέμα στο οποίο αναφέρεται το άρθρο. Ο καθένας έχει το δικαίωμα να εκφράζει ελεύθερα τις απόψεις του. Ωστόσο, αυτό δεν σημαίνει ότι υιοθετούμε τις απόψεις αυτές και διατηρούμε το δικαίωμα να μην δημοσιεύουμε συκοφαντικά ή υβριστικά σχόλια όπου τα εντοπίζουμε. Σε κάθε περίπτωση ο καθένας φέρει την ευθύνη των όσων γράφει και το pronews.gr ουδεμία νομική ή άλλα ευθύνη φέρει.
Δικαίωμα συμμετοχής στη συζήτηση έχουν μόνο όσοι έχουν επιβεβαιώσει το email τους στην υπηρεσία disqus. Εάν δεν έχετε ήδη επιβεβαιώσει το email σας, μπορείτε να ζητήσετε να σας αποσταλεί νέο email επιβεβαίωσης από το disqus.com
Όποιος χρήστης της πλατφόρμας του disqus.com ενδιαφέρεται να αναλάβει διαχείριση (moderating) των σχολίων στα άρθρα του pronews.gr σε εθελοντική βάση, μπορεί να στείλει τα στοιχεία του και στοιχεία επικοινωνίας στο info3@pronews.gr και θα εξεταστεί άμεσα η υποψηφιότητά του.