Κανονικά θα έπρεπε να του στήσουν ανδριάντα...

Εμβόλιο Pfizer: Κινεζική μελέτη δίνει τετραπλάσιες πιθανότητες για μυοκαρδίτιδα σε σχέση με τα στοιχεία του ΕΜΑ

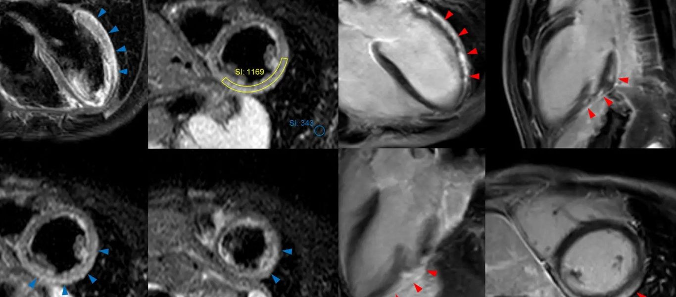
Εμβόλιο Pfizer: Κινεζική μελέτη δίνει τετραπλάσιες πιθανότητες για μυοκαρδίτιδα σε σχέση με τα στοιχεία του ΕΜΑ

Ανησυχητικά είναι τα στοιχεία από μελέτη που πραγματοποιήθηκε στο Χονγκ Κονγκ τα αποτελέσματα της οποίας δημοσιεύτηκαν στο περιοδικό Clinical Infectious Disease και δείχνουν ότι υπάρχει αυξημένος κίνδυνος εμφάνισης μυοκαρδίτιδας/περικαρδίτιδας μετά τον εμβολιασμό με το εμβόλιο της Pfizer μεταξύ ανδρών και εφήβων, ειδικά μετά τη δεύτερη δόση.

Αυτό που πρέπει να τονιστεί ιδιαιτέρως είναι το γεγονός ότι η νέα κινεζική μελέτη εκτιμά τον κίνδυνο εμφάνισης μυοκαρδίτιδας/περικαρδίτικδας ως και 4 φορές υψηλότερο σε σχέση με τον ευρωπαϊκό οργανισμό ΕΜΑ που παραδέχτηκε επισήμως ότι 1 στους 10.000 εμβολιασμένους με Pfizer θα αναπτύξει μυοκαρδίτιδα/περικαρδίτιδα.Τα στοιχεία που αφορούν τις εκτιμήσεις του ΕΜΑ δημοσίευσε και πάλι πρώτο το Pronews.gr

https://www.vimeo.com/653402964

Η έναρξη της μυοκαρδίτιδας ήταν κατά μέσο όρο 2 ημέρες μετά τον εμβολιασμό. Η κλινικά (οξεία ή ήπια) συχνότητα εμφάνισης μυοκαρδίτιδας/περικαρδίτιδας ήταν μια περίπτωση στους 2.680 εμβολιασμένους. .

Βάσει των δεδομένων της μελέτης 37,32 άτομα ανά 100.000 ή ένας στους 2680 νεαρούς άνδρες παρουσίασε ανάπτυξη μυοκαρδίτιδας/περικαρδίτιδας εντός δύο εβδομάδων από τον δεύτερο εμβολιασμό τους (μέσος χρόνος έως την εμφάνιση του νόσου νόσο: 2 ημέρες μετά τον εμβολιασμό).

Η μελέτη στηρίχθηκε σε ανάλυση νοσοκομειακών και μόνο αρχείων μυοκαρδίτιδας/περικαρδίτιδας κάτι που σημαίνει πως δεν συμπεριλαμβάνει εφήβους που μπορεί να έχουν αναπτύξει τη νόσο αλλά δεν την ανέφεραν σε κάποια υγειονομική αρχή.

Πολλοί παιδοκαρδιολόγοι, συμπεριλαμβανομένου και του Dr. Kirk Milhoan, MD, PhD υποστηρίζουν ότι δεν υπάρχει «ήπια» μυοκαρδίτιδα στα παιδιά.

Η μυοκαρδίτιδα προκαλεί καρδιακή βλάβη. Η καρδιακή βλάβη είναι εφ’ όρου ζωής – η καρδιά δεν επουλώνεται αντικαθιστώντας τα κατεστραμμένα κύτταρα.

Είναι σημάδια. Οι ουλές στην καρδιά μπορεί να οδηγήσουν σε αλλαγές στην ηλεκτρική αγωγιμότητα στον καρδιακό μυ, που με τη σειρά του μπορεί να οδηγήσει σε «ξαφνικό θάνατο» λόγω αλλαγών στην κανονικότητα των καρδιακών παλμών και της μυϊκής συστολής της καρδιάς. Αυτά τα γεγονότα μπορεί να συμβούν ανά πάσα στιγμή, ιδιαίτερα όταν η καρδιά είναι «πιεσμένη» με κάποιο τρόπο, αναφέρει ο Dr,. Robert Malone.

Δείτε μας ζωντανά στο YouTube, Twitch, X, Telegram

ΤΕΛΕΥΤΑΙΕΣ ΕΙΔΗΣΕΙΣ
ΔΕΙΤΕ ΟΛΑ ΤΑ ΝΕΑ
ΣΧΟΛΙΑΣΤΕ ΤΟ ΑΡΘΡΟ

Tο pronews.gr δημοσιεύει κάθε σχόλιο το οποίο είναι σχετικό με το θέμα στο οποίο αναφέρεται το άρθρο. Ο καθένας έχει το δικαίωμα να εκφράζει ελεύθερα τις απόψεις του. Ωστόσο, αυτό δεν σημαίνει ότι υιοθετούμε τις απόψεις αυτές και διατηρούμε το δικαίωμα να μην δημοσιεύουμε συκοφαντικά ή υβριστικά σχόλια όπου τα εντοπίζουμε. Σε κάθε περίπτωση ο καθένας φέρει την ευθύνη των όσων γράφει και το pronews.gr ουδεμία νομική ή άλλα ευθύνη φέρει.

Δικαίωμα συμμετοχής στη συζήτηση έχουν μόνο όσοι έχουν επιβεβαιώσει το email τους στην υπηρεσία disqus. Εάν δεν έχετε ήδη επιβεβαιώσει το email σας, μπορείτε να ζητήσετε να σας αποσταλεί νέο email επιβεβαίωσης από το disqus.com

Όποιος χρήστης της πλατφόρμας του disqus.com ενδιαφέρεται να αναλάβει διαχείριση (moderating) των σχολίων στα άρθρα του pronews.gr σε εθελοντική βάση, μπορεί να στείλει τα στοιχεία του και στοιχεία επικοινωνίας στο info3@pronews.gr και θα εξεταστεί άμεσα η υποψηφιότητά του.