
Η Άσμα Άσαντ, σύζυγος του πρώην προέδρου της Συρίας Μπασάρ αλ Άσαντ, είναι βαριά άρρωστη με λευχαιμία, με τους γιατρούς να της δίνουν 50% πιθανότητες να ζήσει.
Η 49χρονη γυναίκα είχε διαγνωστεί με οξεία μυελογενή λευχαιμία τον περασμένο Μάϊο. Όπως είχε τότε ανακοινώσει το γραφείο του συζύγου της, είχε παρουσιάσει μία σειρά από ύποπτα συμπτώματα που οδήγησαν στη διάγνωσή της.
Επρόκειτο να ακολουθήσει «ειδικό θεραπευτικό πρωτόκολλο» το οποίο συμπεριλάμβανε «αυστηρά μέτρα πρόληψης των λοιμώξεων». Γι’ αυτό τον λόγο έπρεπε να αποσυρθεί και από όλες τις υποχρεώσεις της που απαιτούσαν άμεση επαφή με άλλα άτομα.
Ως φαίνεται, όμως, η θεραπεία δεν απέδωσε τα προσδοκώμενα και ήδη πριν εκπέσει από το αξίωμά του ο Μπασάρ αλ Άσαντ, είχε μεταφερθεί στη Μόσχα.
Την σοβαρή κατάσταση της υγείας της έφερε στη δημοσιότητα η βρετανική εφημερίδα Telegraph. Όπως αναφέρει, άτομο που ήρθε σε επαφή με εκπρόσωπο της οικογενείας, είπε ότι η νεαρή γυναίκα «πεθαίνει».
Σύμφωνα με τις πηγές της εφημερίδας, η Άσμα Άσαντ αδυνατεί να βρίσκεται στο ίδιο δωμάτιο με άλλα άτομα, λόγω της εύθραυστης κατάστασης της υγείας της. Στο πλευρό της έχει τους τελευταίους 6 μήνες τον πατέρα της, ο οποίος είναι διακεκριμένος καρδιολόγος της Harley Street του Λονδίνου.
Η κυρία Άσαντ, που έχει γεννηθεί στη Βρετανία, προσπαθεί να μεταφερθεί στο Λονδίνο για να τύχει καλύτερης ιατρικής αντιμετώπισης.
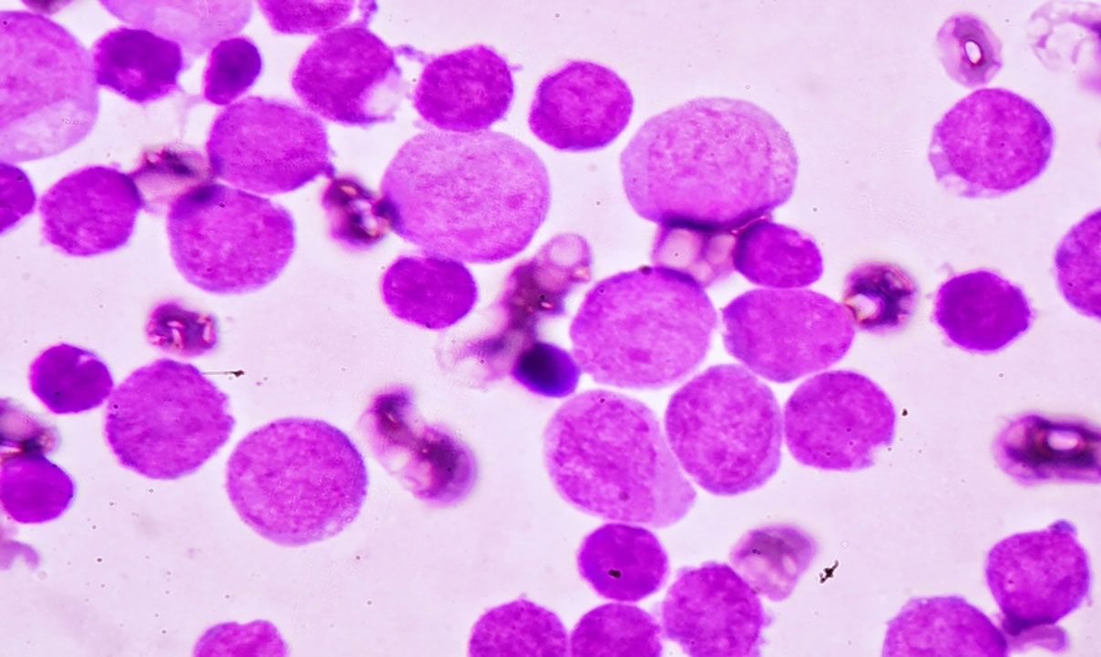
Τι είναι η οξεία μυελογενής λευχαιμία
Η οξεία μυελογενής λευχαιμία είναι ένα είδος αιματολογικής κακοήθειας (καρκίνος του αίματος). Αποτελεί την πιο συχνή μορφή λευχαιμίας στους ενήλικες, αντιπροσωπεύοντας το σχεδόν ένα τρίτο των κρουσμάτων.
Η νόσος αναπτύσσεται όταν ο μυελός των οστών παράγει πολύ μεγάλο αριθμό παθολογικών λευκών αιμοσφαιρίων, αναφέρει το Εθνικό Ίδρυμα Καρκίνου (NCI) των ΗΠΑ.
Τα λευκά αιμοσφαίρια είναι κύτταρα του ανοσοποιητικού συστήματος. Όταν αυξάνεται υπέρμετρα η παραγωγή των παθολογικών αιμοσφαιρίων, μειώνεται ο αριθμός των υγιών λευκών, αλλά και των ερυθρών αιμοσφαιρίων και των αιμοπεταλίων που επίσης παράγει ο μυελός των οστών. Τα ερυθρά αιμοσφαίρια είναι αυτά που μεταφέρουν οξυγόνο σε όλο το σώμα. Τα αιμοπετάλια είναι απαραίτητα για την πήξη του αίματος.
Η μείωση των υγιών λευκών αιμοσφαιρίων καθιστά τον ασθενή ευάλωτο στις λοιμώξεις. Αντίστοιχα, η ελάττωση των ερυθρών αιμοσφαιρίων μπορεί να οδηγήσει στην αναιμία. Και η μείωση των αιμοπεταλίων έχει ως συνέπεια εύκολους μώλωπες ή αιμορραγίες.
Το κάπνισμα και το ιστορικό χημειοθεραπείας ή έκθεσης σε ακτινοβολία είναι μερικοί παράγοντες κινδύνου για οξεία μυελογενή λευχαιμία.
Πώς εκδηλώνεται
Τα πρώτα συμπτώματα που προκαλεί η οξεία μυελογενής λευχαιμία μπορεί να θυμίζουν αυτά της γρίπης ή άλλων συνηθισμένων παθήσεων. Ωστόσο στον γιατρό πρέπει να απευθύνονται οι ασθενείς οι οποίοι έχουν:
Άλλα ύποπτα συμπτώματα είναι τα εξής, σύμφωνα με ειδικούς από το βρετανικό Εθνικό Σύστημα Υγείας (NHS):
Αν και τα προαναφερθέντα συμπτώματα μπορεί να έχουν πολλές αιτίες και είναι απίθανο να προκαλούνται όντως από λευχαιμία, είναι σημαντικό να ελέγχονται, τονίζουν οι ειδικοί.
Τα συμπτώματα της οξείας μυελογενούς λευχαιμίας συνήθως αναπτύσσονται λίγες εβδομάδες (4 έως 6 εβδομάδες) πριν από τη διάγνωση. Δίχως θεραπεία, εξελίσσονται γρήγορα.
Tο pronews.gr δημοσιεύει κάθε σχόλιο το οποίο είναι σχετικό με το θέμα στο οποίο αναφέρεται το άρθρο. Ο καθένας έχει το δικαίωμα να εκφράζει ελεύθερα τις απόψεις του. Ωστόσο, αυτό δεν σημαίνει ότι υιοθετούμε τις απόψεις αυτές και διατηρούμε το δικαίωμα να μην δημοσιεύουμε συκοφαντικά ή υβριστικά σχόλια όπου τα εντοπίζουμε. Σε κάθε περίπτωση ο καθένας φέρει την ευθύνη των όσων γράφει και το pronews.gr ουδεμία νομική ή άλλα ευθύνη φέρει.
Δικαίωμα συμμετοχής στη συζήτηση έχουν μόνο όσοι έχουν επιβεβαιώσει το email τους στην υπηρεσία disqus. Εάν δεν έχετε ήδη επιβεβαιώσει το email σας, μπορείτε να ζητήσετε να σας αποσταλεί νέο email επιβεβαίωσης από το disqus.com
Όποιος χρήστης της πλατφόρμας του disqus.com ενδιαφέρεται να αναλάβει διαχείριση (moderating) των σχολίων στα άρθρα του pronews.gr σε εθελοντική βάση, μπορεί να στείλει τα στοιχεία του και στοιχεία επικοινωνίας στο info3@pronews.gr και θα εξεταστεί άμεσα η υποψηφιότητά του.